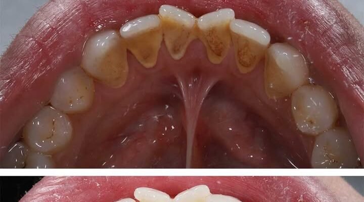
Tartar, also known as dental calculus, is a hardened form of dental plaque that can form on your teeth and under your gumline. It is caused by the accumulation of minerals from saliva on plaque, which is a sticky film of bacteria that forms on your teeth. If plaque is not removed regularly through brushing and flossing, it hardens into tartar. Tartar not only causes unsightly stains on your teeth but also contributes to gum disease and cavities. The rough surface of tartar makes it easier for plaque to adhere, creating a vicious cycle of buildup.
Understanding the Importance of Oral Hygiene
Maintaining good oral hygiene is crucial for preventing tartar buildup and ensuring overall dental health. Regular brushing and flossing help remove plaque before it hardens into tartar. Using an antibacterial mouthwash can also reduce plaque and bacteria in your mouth. Regular dental check-ups and cleanings are essential, as only a dental professional can remove tartar once it has formed. Good oral hygiene practices not only keep your teeth and gums healthy but also prevent bad breath and other oral health issues.
Hack 1: Baking Soda and Hydrogen Peroxide Paste
Baking soda is a mild abrasive that can help remove surface stains and plaque from your teeth. When combined with hydrogen peroxide, which has antibacterial properties, it can be an effective home remedy for reducing tartar. To make the paste, mix two tablespoons of baking soda with one tablespoon of hydrogen peroxide. Use this paste to brush your teeth gently for two minutes, then rinse thoroughly. This hack can help whiten your teeth and reduce tartar buildup with minimal effort.
Hack 2: The Power of Apple Cider Vinegar
Apple cider vinegar is known for its antibacterial properties and can help break down plaque and tartar. To use apple cider vinegar as a mouth rinse, dilute it with water in a 1:1 ratio. Swish the mixture around your mouth for a few minutes, then rinse with water to prevent the acidity from damaging your enamel. Regular use of apple cider vinegar can help reduce tartar and improve oral health.
Hack 3: Utilizing Coconut Oil for Oil Pulling
Oil pulling is an ancient practice that involves swishing oil in your mouth to remove bacteria and promote oral health. Coconut oil is particularly effective due to its antimicrobial properties. To practice oil pulling, take a tablespoon of coconut oil and swish it around your mouth for 15-20 minutes. Spit out the oil and rinse your mouth with warm water. This method can help reduce plaque and tartar while also freshening your breath.
Hack 4: The Benefits of Orange Peels
Orange peels contain vitamin C and limonene, which can help break down plaque and tartar. To use orange peels, rub the inside of the peel directly onto your teeth for a few minutes. Alternatively, you can make a paste from ground orange peels and apply it to your teeth. This natural remedy can help whiten your teeth and reduce tartar buildup over time.
Hack 5: Activated Charcoal for Whitening
Activated charcoal is a popular natural remedy for teeth whitening and removing surface stains. Its porous structure helps absorb plaque and tartar. To use activated charcoal, wet your toothbrush and dip it into powdered charcoal. Brush your teeth gently for two minutes, then rinse thoroughly. Be cautious with this method, as excessive use can be abrasive to your enamel.
Hack 6: The Effectiveness of Aloe Vera Gel
Aloe vera gel has antibacterial and anti-inflammatory properties that can help combat plaque and tartar. To use aloe vera for oral health, mix a teaspoon of aloe vera gel with a pinch of baking soda and a few drops of lemon essential oil. Use this mixture to brush your teeth for two minutes, then rinse. Aloe vera can help soothe gums and reduce tartar buildup.
Hack 7: Green Tea as a Preventative Measure
Green tea contains catechins, which are antioxidants that can help reduce inflammation and bacterial growth in the mouth. Drinking green tea regularly can help prevent plaque buildup and reduce the risk of tartar formation. Additionally, green tea can improve gum health and freshen your breath. Incorporating green tea into your daily routine is an easy way to support oral health.
Conclusion: Maintaining a Tartar-Free Smile
While these hacks can help reduce tartar and improve the appearance of your teeth, maintaining a tartar-free smile requires consistent oral hygiene practices. Brush and floss regularly, use mouthwash, and visit your dentist for regular cleanings. By incorporating these simple hacks into your routine, you can enhance your oral health and keep your smile bright and healthy with minimal effort.
